|
10 Years このページを作成して10年になりました これはアジサイの名所でとったもので、自分を取り巻く環境はこの十年、アジサイのように七変化・・・まあ良しとしようか(紫陽花) ですが 花の終わったオフの頃のアジサイというのは実に無惨な姿ですね・・ いつだったか、兵庫県の森林植物園でこの時期、同じ仲間の甘茶が咲いており、園を訪れる人にそのお茶を振る舞っていました。 自然な甘みが何とも言えず、まさに甘露。釈尊が沙羅双樹の木の本で成仏したとき、甘露の雨が降ったと言いますが、これほどの癒しはないですね。
参道に咲いていました。 なんでわざわざ雨の日にお出かけ、、、って? まあ梅雨の時期ならではの風情もあり。 カタツムリを探したけどいなかったのは残念でした。話変わって今日はフランスとポルトガルの準決勝。 ワールドカップはいつもこのじめじめしたときにやるのですね〜 ボクが覚えているのは82年のスペイン大会ぐらいからかな。といってもほとんど放映してない。 その後90年くらいから衛星放送が始まってようやく全試合みれるようになった。 当時はキーパーへのバックパスの禁止や、マルチボールなどもありませんでした。フォワードが自陣で守ることも少なかったので、得点シーンは多かった。 それが全員守備・全員攻撃の組織サッカーになってどんどん点が入りにくくなりゲーム自体がおもしろくなくなった。 実際ペレなんかは王様と言われているけど、守備はほとんどしてない! 革命家、ベッケンバウアワーがリベロとか皇帝と言われてからサッカーが体力勝負の競技になった。攻めと守りの役割分担がはっきりしていたころのサッカーが懐かしい。WMという言葉を聞いて分かるひとがいるかな・・・ 当時のポジションでいうところの右ウィングがボクの役割でした。やっぱり敵のコーナーキックの時以外はほとんど守りませんでした(^.^; |
|
FreeCell
カーペンターズの中でも名曲と言われる「Solitaire」 愛する彼はゲームばかりしているのですが、ボクはそれよりこっちのほうが好きです。 なにより途中でやめても負けがついてしまうと言うシビアな成績管理もしかり、カード運も確かにあるが、実力で乗り切れる部分も大きいのが特徴です。 10連勝あたりから意識しだして、真剣勝負で31連勝。その後連勝は34でストップしました。 将棋界でも勝率七割というととてつもない大棋士で、この「勝率」を上げるためには如何に負けてはならぬか! よく理解できるのであります。
勝率八割を目指してましたが、当初の負けが響いて一歩足らず・・・ まあこんなもんでしょう。ボク自身、競馬、パチンコ、麻雀、その他ギャンブルを一切やらないのはいつもこういうことになるからで、勝負事には向いていないのです(^.^; ということで、何年かに一度100戦をやるフリーセル、クリアして終わります。 |
Ninjinboku
この小さな花にミツバチが飛んできます。 こんな排気ガスの充満したところなのにどうやって見つけてくるのか不思議です。いつも自分の座っている場所から窓越しに見える唯一の自然。 一本の挿し木が2メートルを超える木になって毎年花を咲かせます。葉が朝鮮人参によく似ているのでニンジンボク。 ただこの時期、花が満開を迎える頃、雨でしなった枝が歩道を覆うので剪定しなければなりません。この花もまたはかない運命だったので、この写真を残しておきました。 このページを立ち上げたのと同じくらいの時期に植えたような気がします。 だから10歳くらいでしょうか。 今年は初冬、思い切って根元から切って年輪を数えてみようかな・・
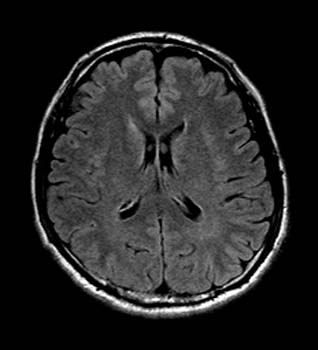
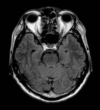
My Brain
高血圧の末、眼底出血を起こしたのが5年前でした。 先週そのときの悪夢がまた現実に、、視野の狭窄は数時間で消えたので、小さな血管の出血だったのでしょう。 この分で行くと、ボクの頭の血管もときどき小さなものが切れては、密かに吸収されて事なきを得ているってことのようです。
脳ドックというシステムは、15分程度磁場の中に寝ているだけで完了します。2週間後、このような写真が入ったCDが送られてきて、楽しむことが出来ます(^o^)
